おかげさまで開設25周年MAIGTC.COM 創業祭

MAIGTC.COM

詳しくはこちら
マイストア マイストア 変更
  • 即日配送
  • 広告
  • 取置可能
  • 店頭受取

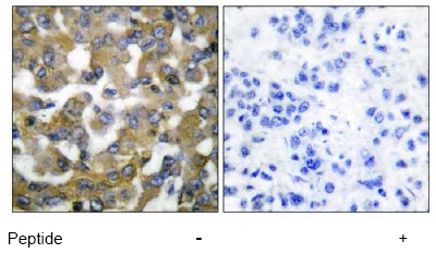
HOT ! アトピロン Anti-H2A.X (S139 phospho) antibody - rabbit polyclonal (ab2893

※MAIGTC.COM 限定モデル
YouTuberの皆様に商品の使い心地などをご紹介いただいております!
紹介動画はこちら

ネット販売
価格(税込)

6000

  • コメリカード番号登録、コメリカードでお支払いで
    コメリポイント : 2ポイント獲得

コメリポイントについて

購入個数を減らす
購入個数を増やす

お店で受け取る お店で受け取る
(送料無料)

受け取り店舗:

お店を選ぶ

近くの店舗を確認する

納期目安:

13時までに注文→17時までにご用意

17時までに注文→翌朝までにご用意

受け取り方法・送料について

カートに入れる

配送する 配送する

納期目安:

2026.02.26 18:6頃のお届け予定です。

決済方法が、クレジット、代金引換の場合に限ります。その他の決済方法の場合はこちらをご確認ください。

※土・日・祝日の注文の場合や在庫状況によって、商品のお届けにお時間をいただく場合がございます。

即日出荷条件について

受け取り方法・送料について

カートに入れる

欲しいものリストに追加

欲しいものリストに追加されました

アトピロン Anti-H2A.X (S139 phospho) antibody - rabbit polyclonal (ab2893の詳細情報

Anti-H2A.X (S139 phospho) antibody - rabbit polyclonal (ab2893。3-6121-02 薬品標識広口洗浄瓶 (Azlon) 250mL エタノール WGW535VTML。Azuma Higashi | Choujin X Wiki | Fandom。
sisley eau de campagne セット 100ml + 250ml
アトピロンオイルとジェリーのセットです3月14日に発送されたものです14740円でした
  • Anti-H2A.X (S139 phospho) antibody - rabbit polyclonal (ab2893
  • 3-6121-02 薬品標識広口洗浄瓶 (Azlon) 250mL エタノール WGW535VTML
  • Azuma Higashi | Choujin X Wiki | Fandom

同じカテゴリの 商品を探す

ベストセラーランキングです

このカテゴリをもっと見る

この商品を見た人はこんな商品も見ています

近くの売り場の商品

このカテゴリをもっと見る

カスタマーレビュー

オススメ度  4.2点

現在、3052件のレビューが投稿されています。